长期头痛可能是寄生虫上脑的症状! 美国佛罗里达州一名52岁男子早前因偏头痛求医,经检查后发现寄生虫在其脑部产卵,导致他患上神经囊虫病。 医生指,患者平日爱吃1种常见于早餐的食物,因处理不当受感染。 有专家指,感染寄生虫后可能出现5大症状,要小心注意。
经常偏头痛 揭寄生虫上脑
《美国期刊病例报告》(American Journal of Case Reports)于今年3月7日刊登上述病例。 该名52岁男子本身有偏头痛、糖尿病、肥胖等病史。 求诊4个月前,偏头痛症状突然加剧,即使服药仍无法缓解痛楚,因此到医院进行检查。
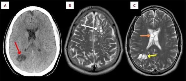
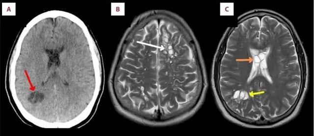
经电脑断层与磁力共振扫瞄造影检查后发现,该男子的左右脑都有多个囊肿,并伴随出现肿胀情况,其后确认他的脑部寄生的是猪肉绦虫(pork tapeworm),甚至在脑内产卵。
猪肉绦虫令他头骨下的组织受到刺激,患上因寄生虫感染引致的神经囊虫病。 幸好,该男子服用抗寄生虫药及消炎药物2周后病情就有所好转,囊肿及头痛症状也逐渐消失。
▲患者的脑部被寄生虫入侵,引致囊肿。图片来源:《美国期刊病例报告》
为何该男子会感染寄生虫? 医生指,该男子平日爱吃烟肉作早餐,推断他可能曾进食未经彻底煮熟的烟肉,令烟肉里的寄生虫进入他的体内,然后透过血液从肠道进入大脑,导致脑部受感染。
什么是猪肉缘虫? 吃生猪肉易受感染?
根据香港卫生署资料,绦虫是引致肠道寄生虫病的病原体之一,一旦感染绦虫,可能会出现以下症状:
缄虫体形扁平,可长至6米以上,身体有节,呈白色或浅黄色。 绳虫会寄生在最终宿主 (例如人类猪带绦虫) 的小肠内,虫卵随粪便排出及进入环境中,并被中间宿主(例如猪、牛和鱼)摄入。 虫卵在中间宿主的肌肉或其他器官中孵化成为幼虫包囊(囊尾蚴)。
如果进食了未经煮熟及受囊尾蚴污染的猪肉、牛肉或鱼,便可能受到成虫感染。 如果摄入猪带縧虫卵(例如经摄入受污染的食物或水),虫卵孵化成囊尾蚴后,可以感染大脑、肌肉或其他组织(人类囊虫病),引致非常严重的疾病。
感染寄生虫5大症状 腹部不适要小心
卫生署表示,感染寄生虫的症状及潜伏期取决于所感染的寄生虫种类。 如感染小量的寄生虫,可能会全无症状。 至于有症状的患者,可能出现的情况如下:
-
腹部不适及膨胀、呕吐、腹泻
-
体重减轻
-
肛门痕痒
-
如感染縧虫,可在粪便中排出縧虫节段
-
如患者体内有大量寄生虫,可导致较严重的并发症,例如肠道阻塞、贫血、胆管阻塞及发炎
不吃生肉也会感染寄生虫? 卫生署教10大预防方法
要预防感染寄生虫应勤剪指甲? 香港卫生署教预防及治理寄生虫10大方法:
-
经常保持双手清洁,尤其在处理食物或进食前,以及如厕后。
-
洗手时应以枧液和清水清洁双手,搓手最少20秒,用水过清并用抹手纸或干手机弄干。如没有洗手设施,或双手没有明显污垢时,使用含70至80%的酒精搓手液洁手亦为有效方法。
-
定期修剪指甲。
-
劝喻小童不要吮吸手指或搔抓肛门范围。
-
在田里工作时须穿上鞋子。
-
只饮用煮沸后的自来食水或出品自可靠商户的樽装饮品。
-
从卫生和可靠的地方购买新鲜食物,不要光顾无牌小贩。
-
避免进食高危食物,例如生的或未经煮熟的肉类,特别是牛肉、猪肉及鱼肉。
-
食物应彻底清洗。
-
确保所有食物彻底煮熟才可进食,尤其是以烧烤或火锅方式烹煮食物。
3种鱼易有寄生虫 不只三文鱼高危
香港食品创新科技及安全中心食品研究项目经理文嘉敏早前接受星岛环球网访问表示,受生活环境及进食的食物影响,鱼类有机会积藏寄生虫。 若水源不干净或进食受寄生虫污染的食物,它们就有机会感染寄生虫。
容易感染寄生虫的鱼类例子如下:
-
鲩鱼。鲩鱼生活在淡水环境中,较容易感染寄生虫。
-
三文鱼、吞拿鱼。三文鱼和吞拿鱼常被生食,感染寄生虫的风险较高。
更多健康资讯,尽在星岛环球网:
以上内容归星岛新闻集团所有,未经许可不得擅自转载引用。






