美国一名23岁女子在接受磁力共振扫描时,竟因体内一件她相信是100%硅胶的“性玩具”,导致她遭受严重创伤。
磁力共振(MRI)扫描使用强力磁铁和无线电波来创建身体内部的高度详细影像,因此在进行扫描前,须从身体上取走所有金属物体。然而,涉事女子在接受MRI检查时,肛门内插入了一个硅胶塞,并没有取出来。这个匿名女子并不知道,她本以为身上那件是100%硅胶的性玩具,其核心实际上含有金属。
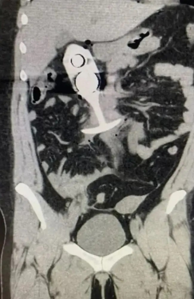
一份向美国食品及药品管理局(FDA)提交的报告称,事件导致该个成人性玩具“穿过她的身体”,导致患者“痛苦尖叫”。
虽然这宗事件发生在2023年4月,但据称显示患者事发后扫描的图像,最近开始在网上流传,提示人们不要在扫描期间佩戴任何金属物品。
▲肛塞穿过女子身体,致她身受重伤。 路透社
▲网站上除有扫描照外,还附有一张短讯的截图。 网图
X平台用户DreadPirateZero在其分享的一则帖文中写道:“去做核磁共振检查时,千万不要戴肛塞。我的天啊! ”除了扫描照片外,还附有一张短讯的截图,发讯者是名叫Matt Z。
短讯称:“我听说过的最严重的人身伤害案件:资深律师古德诺接待了一位客户,她起诉一家性玩具公司。该名顾客购买了一个肛塞,相关广告中声称它为‘100%硅胶’。顾客戴着它去进行MRI扫描。令客户沮丧的是,那个肛塞实际上内有金属芯。”
有关内容进一步声称,塞子以“声速”从患者的直肠被拉到胸腔,受创者幸存下来,但伤势严重。
还有官方报告证实,该女子使用磁力共振扫描设备时发生了“不良事件”,“患者接受了筛检,但并未透露自己插入了肛塞”。
报告并说,检查结束、技术员把检查台拉出来时,病人开始尖叫。“病人称她感到恶心、疼痛,感觉要昏过去了。我们为这名病人叫了一辆救护车并将她送往医院。”
据悉,MRI机器中使用的磁铁强度极高,通常介乎0.5至3特斯拉(T)单位,比冰箱磁铁(约0.001特斯拉)强得多,大约是地球磁场的10万倍。







