一觉睡醒后发现所有人都五官变形,这种看似电影情节的桥段,竟然是一种罕见病的症状。美国田纳西州一名58岁男子睡醒后,发现所有人的面容扭曲,变得有如“恶魔”脸孔。经医生诊断后,发现男子罹患一种极为罕见的病症,全球至今仅有75名患者。医生指,有4大因素或会增加患上此病的风险。
男子惊见所有人面容扭曲揭患1种罕见病
该项病例于2024年3月23日被刊登在公共卫生杂志《刺针》(The Lancet)上,该名男患者Victor Sharrah是一名货车司机,于三年前睡醒后发现室友的脸孔变得极为恐怖,甚至连其他人的五官的嘴角、眼角和耳朵都出现严重拉伸变尖,并出现深深的凹痕,有如恐怖电影的场景。然而,当他透过照片或计算机屏幕看其他人的面孔时,却没有出现扭曲情况。
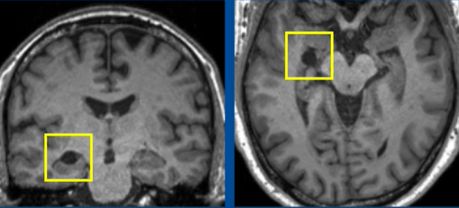
医生后来发现他的脑部出现一个大小约1厘米的圆形病灶,神经科医生推测病灶可能是左侧海马回的蛛网膜囊肿,其后诊断他患有罕见的神经系统疾病脸部变形症(Prosopometamorphopsia,PMO)。
PMO患者眼中的面孔五官
▲医生其后发现他的脑部出现圆形病灶。(《The Lancet》图片)
▲PMO患者见到所有人五官都被扭曲(右图为患者眼中的影象)。(《The Lancet》图片)
▲患者眼中旁人的嘴角、眼角和耳朵都出现严重拉伸变尖。(《The Lancet》图片)
▲并出现深深的凹痕。(《The Lancet》图片)
▲但透过照片或电脑萤幕看时,面孔却没有出现扭曲情况。(《The Lancet》图片)
4大因素易引发PMO 偏头痛患者要小心
为何会患上PMO?医生指,Victor曾在43岁时意外跌倒,导致后脑出现严重受伤,而且在出现PMO症状之前4个月怀疑曾一氧化碳中毒,加上他本身有躁郁症和创伤后压力症候群的病史,因此推测在多种因素下诱发PMO。医生续指,PMO有以下4大致病成因:
4大致病成因
-
头部外伤
-
脑梗塞
-
癫痫
-
偏头痛
资料来源:《The Lancet》









