台中6旬谢姓男子上班久坐,一回到家就当沙发马铃薯,日前爬楼梯感觉呼吸急喘、嘴唇发紫且冒冷汗,紧急送医后确认是可能致命“双侧肺栓塞”发作,心脏内科医师追查,发现患者除家族性先天凝血因子异常,可能和久坐久躺不良习惯有密切相关。
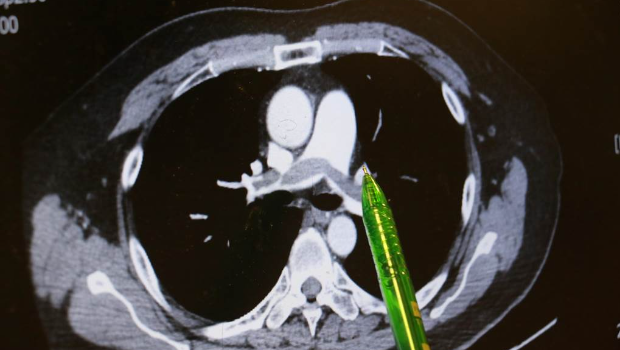
▲病人肺部两侧大片弥漫的血栓。台中慈济医院提供
谢姓男子不烟不酒,他自述上班久坐、在家也习惯久躺沙发,回想发病当天走楼梯时,短短一层楼竟像爬长陡坡,路过同事见他喘不过气、唇色发绿、冷汗直冒,催促紧急就医。台中慈济医院急诊医师检查发现患者血氧饱和度指数极低,电脑断层显示双侧肺动脉都有大块血栓,会诊心脏内科主任林茂仁确认是“双侧肺栓塞(Pulmonary embolism)”。
林茂仁表示,“肺栓塞”有致命危险,但临床病例并不少见,原因是下肢静脉血液流速变慢形成血块,血块经血管进入肺循环,当右心室收缩时,血块掉到两侧肺动脉进而造成肺部栓塞;但“肺栓塞”临床表现不具专一性,很容易被忽略,及时正确诊断是最重要保命关键,一旦拖延可能得接受外科开胸手术清除血栓。
林茂仁说明,患者两侧肺叶弥漫大片血栓,属于临床典型而严重的“肺栓塞”,幸好他马上到急诊就医,还主述一周前曾出现“单侧小腿肿胀”的重要讯息,再透过相关检查,帮助医师快速查出病因。由于患者血液检查发现具有家族性先天凝血因子异常,显示体质天生比一般人有更多发生血栓的机会。
林茂仁表示,引发“肺栓塞”的高危险因素,除了“经济舱症候群”(指长时间飞行下肢不动,静脉容易发生血栓)外,还有肥胖、抽烟、近期曾接受下肢骨科手术且卧床时间过长等;如果单侧小腿肿胀几天都没改善,就很有可能是深部静脉血栓,一旦发生不明原因下肢肿胀,建议把握时间到心脏内科进一步筛检。
谢男证实,双亲都罹患心血管病史,近半年来迷上网路小说,常久躺沙发几个小时都不起身。医师警示,最重要的是避免久坐,每隔1小时就要站起来走走,并注意夏日高温补充水分,早做预防。
来源:中时新闻网





