年轻人也会患脑退化症?一名19岁男子读高中时有学习困难,记忆逐渐衰退,甚至忘记有否吃饭,确诊为阿兹海默症(认知障碍症/脑退化症的一种),成为目前全球已知最年轻的认知障碍症患者。香港卫生署指,认知障碍症主要分3类型,若出现10大警告讯号,例如对时间及方位感到混乱等。
19岁患阿尔茨海默症,头没损伤没家族史
综合内地媒体报道,中国首都医科大学宣武医院贾建平医生团队在《阿兹海默症期刊》(Journal of Alzheimer's Disease)发表论文指,该名19岁男子发育正常,过往没有任何精神心理疾病、头部损伤或家族病史。
2年间记忆衰退,忘记有否吃饭
2年前,他读高中时因难以集中,影响学习;1年前,他开始出现短期失忆,例如会难以记起前一日发生的事情,或摆放个人物品的位置等,同时亦出现阅读和反应障碍。其后,他情况恶化,记忆力每况愈下,开始连有否吃饭亦记不起,无法完成学业,最终被迫退学,不过仍有独立生活能力。
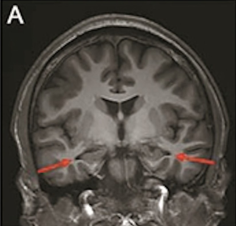
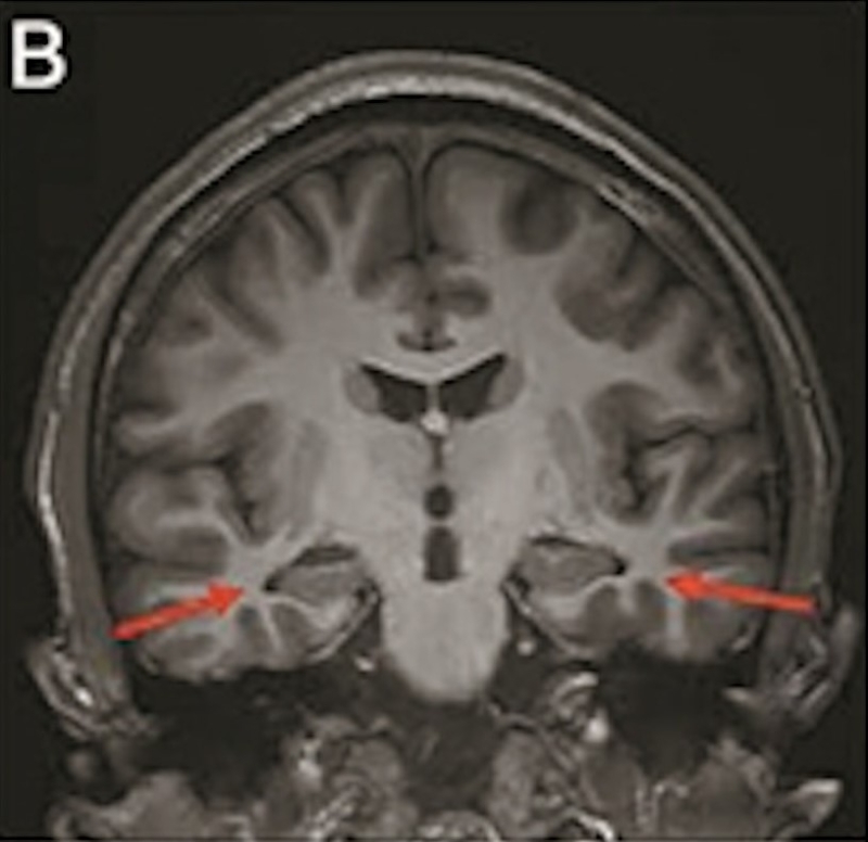
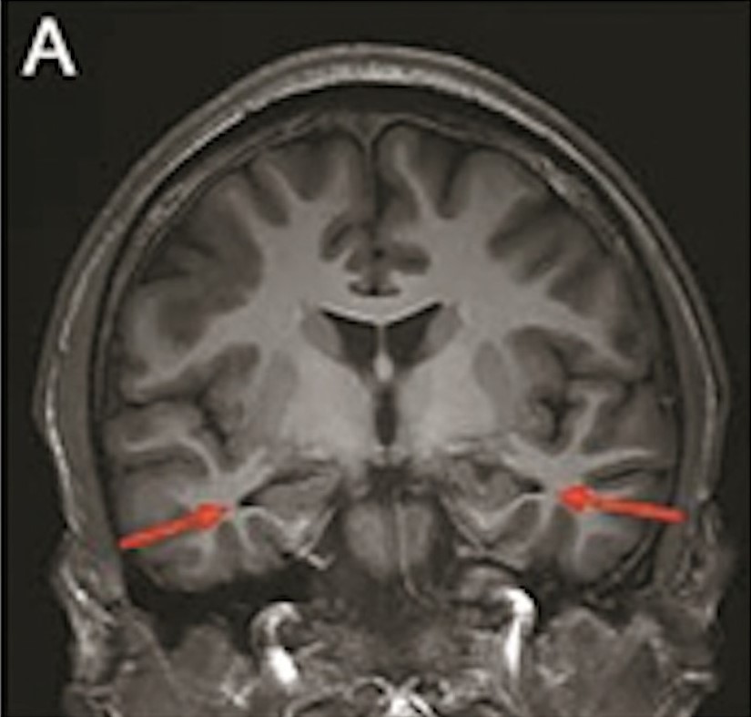
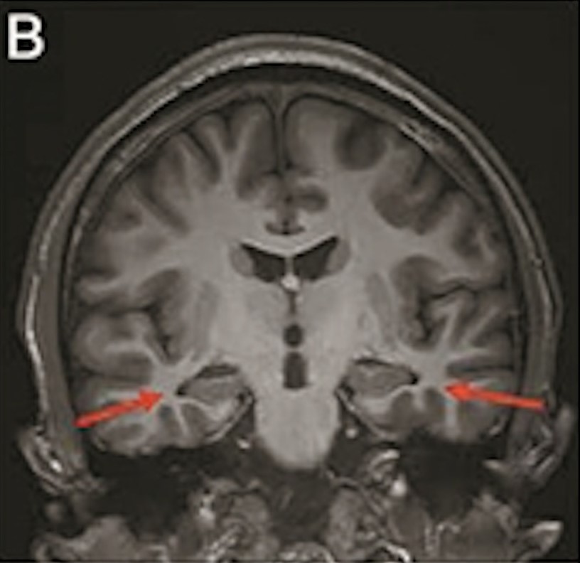
最年轻的19岁阿兹海默症男子脑部扫描结果:
▲19岁阿兹海默症(认知障碍症/脑退化症)男子脑部扫描结果。北京青年报
19岁患阿尔茨海默病,全球最年轻患者
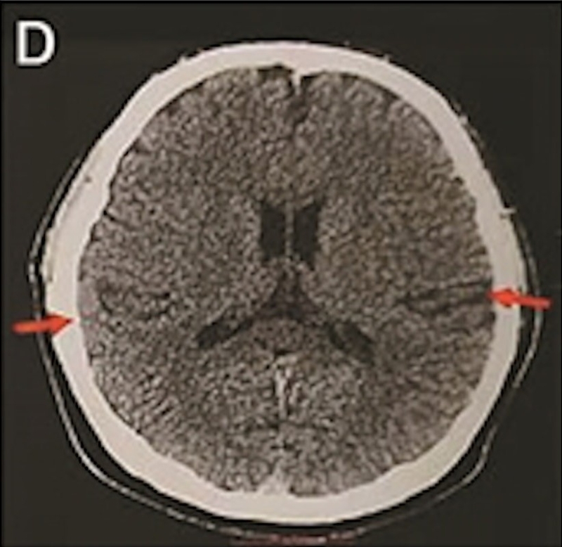
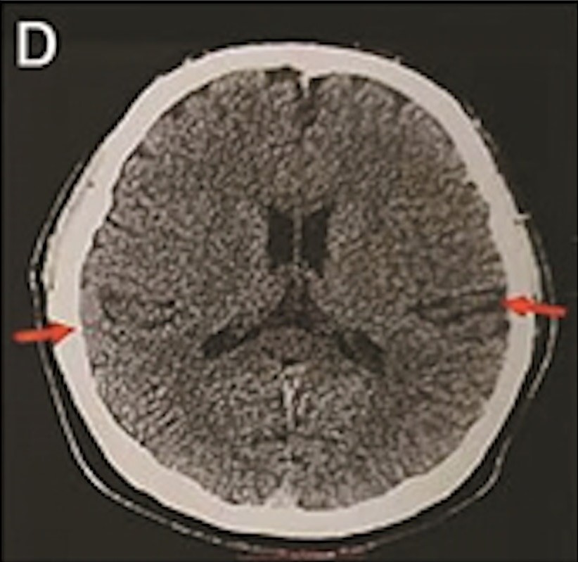
该名19岁男子到医院接受多项检查,包括脑脊液指标检测及正电子扫描。结果显示,他出现轻度脑萎缩等症状,最终被临床诊断为“阿兹海默症”。
在此之前,全球被诊断患上阿尔茨海默症的患者,最年轻的仅为21岁,属基因病变。不过,上述个案的19岁男子并无任何相关的基因病变,令医生难以置信。
贾建平医生指,早期发现的阿兹海默症患者可能只有零星几过,有不常见的相关基因突变,所以这个病例进一步了解阿兹海默症的发病原理,有着巨大意义。
认知障碍症/脑退化分3类,阿兹海默病最常见
根据香港卫生署资料,认知障碍症“前称老人痴呆症/脑退化症”,是大脑神经细胞病变,引致脑部功能不正常地衰退的病患之统称;也是一种因脑部功能丧失而出现的疾病,它会影响记忆、思维、语言、判断能力、行为及性格。
患者的记忆力及其他认知功能(例如学习、理解、语言运用、方向感及判断力等)会逐渐失去;有些病人也会有抑郁、幻觉或人格改变的病征。
病因可分为以下几类:
-
阿兹海默病-最常见类型,占香港长者病例约65%
-
血管性认知障碍症-第二常见类型,占香港长者病例约30%
-
其他(柏金逊病型认知障碍症、甲状腺机能衰退及维他命B12缺乏等)
小心认知障碍症10大警告讯号
卫生署指,若出现以下情况,或是患认知障碍症的警告讯号:
认知障碍症病情发展及症状
卫生署指,认知障碍症(脑退化症)病情发展分3个阶段,征状如下:
以上内容归星岛新闻集团所有,未经许可不得擅自转载引用。



























