▲胸腔科医生揭白肺真相。
疫情升温,近日传出有许多人出现“白肺”症状,恐怖的名称让不少民众听了很害怕,胸腔重症科医师苏一峰表示,所谓的白肺,正确名称应该是肺炎重症或急性呼吸窘迫症,全世界的加护病房里面都会有,他自己手头上也有几个白肺患者,因此这并不是大陆才有的疾病。
苏一峰昨在脸书上分享,传大陆因为疫情出现了“白肺”,让许多人听了很恐慌,但其实所谓的白肺,正确名称应该是“肺炎重症”或“急性呼吸窘迫症”。而这个状况全世界的每家医院里面都会有,并不是只有大陆才有。
苏一峰表示,他自己手头上目前也有“白肺”患者,应该说,每家医院的加护病房里面应该都会有一大堆白肺的患者喔!而他应该也可以算是台湾的白肺专家了。
贴文引起网友讨论,不少人坦言,当初听到“白肺”的时候,真的觉得很恐怖也很害怕,后来看了医师解释才知道,这不是新的疾病才松了一口气,很讨厌有些人应要拿一些陌生的病症名称乱吓人。
内容获“中时新闻网”授权转载
同场加映:长新冠食疗 KO咳嗽脑雾头痛症状
香港注册中医师林家扬及其团队曾在“医艺同行 Eli Care”Facebook专页推介食疗,纾缓长新冠症状。
纾缓咳嗽茶疗+按摩法
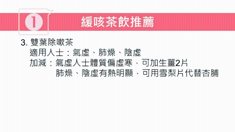
林家扬医师推介4款止咳茶,以及1套理肺按摩法,有助改善咳嗽症状:








6款茶纾缓头痛
中医师林家扬又推介6款茶纾缓头痛,大家可选择针对自身症状的茶疗。这些茶饮分别适合风热、肝热、风湿、痰湿、气虚、血虚、血瘀、偏寒体质人士,材料、功效及做法如下:







按穴位快速止头痛
林家扬医师教按穴位,快速止头痛疗法。头痛人士可按合谷、太冲、太阳、风池穴,并可局部按压痛点。另他又教“松松缓痛功”、“醒醒头面功”这2套简易运动,有助纾缓头痛、头晕、感冒、失眠、疲乏等症状,适合在家中或在办公室进行。
按穴止头痛及简易运动方法,详细教学如下:














▲按穴位止头痛方法(图片获注册中医师林家扬授权转载)

3款醒脑茶饮+增强记忆运动
林家扬按不同体质需要,建议以下3款醒脑健脑茶饮。此外,他教大家做手部运动及按摩头部,帮助增强记忆力。











▲林家扬建议3款醒脑健脑茶饮以及一些运动增强记忆力
以上内容归星岛新闻集团所有,未经许可不得擅自转载引用。





