如果一天喝5瓶可乐,1年后会发生怎样的变化呢?
“快科技”网报道,湖北武汉17岁少女汪蕾(化名),近日因牙疼痛到医院就诊,得知自己一口牙齿被可乐“泡腐”15颗后,懊悔不已。
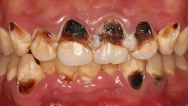
武汉大学口腔医院的医师王莉表示,该名少女外表漂亮,但牙齿状况令人惨不忍睹,这也导致少女不敢开口,张嘴的幅度非常小。
报道说,一年前汪蕾养成了将可乐当作日常饮用水的习惯,每天至少喝四到五瓶,并且她晚上从不刷牙。
起初,汪蕾的牙齿因软垢附着出现白垩色、褐色、黑色等颜色变化,随着酸性物质不断侵蚀,牙齿开始变软,龋洞蔓延,到今年10月,哪怕只是轻抿一口温水,或轻触一丝凉风,都会触发疼痛“开关”。
王莉说,碳酸饮料含有酸性成分,长期大量饮用会侵蚀牙齿表面的牙釉质,牙釉质受损后,牙齿会变得敏感,对冷、热、酸、甜等刺激产生疼痛不适,影响正常的饮食和生活。预防“可乐牙”,不仅要减少摄入量,日常口腔清洁工作同样重要。
王莉为少女定制了治疗方案,对于仅存颜色改变的牙齿,通过涂抹氟化物或使用渗透树脂,增强牙齿抗龋能力;对于已形成龋洞、但没有侵及牙髓的患牙,可先补牙处理,若出现牙髓炎,则需实施根管治疗,彻底清除牙髓腔内和根管内的感染。
在两个月的治疗后,少女的牙齿已经不再敏感,牙色也恢复洁白,她也戒掉了可乐,敢在别人面前张口。
专题 更多 >
热门文章





